こんにちは!セルフホワイトニングサロン【PROTEA】です。
皆さんは、ホワイトニングを受ける際に使われる「ジェル」にも種類があることをご存知ですか?
当店では、お客様のニーズに合わせて2種類のホワイトニングジェルをご用意しています。
• ■ 医療ホワイトニングジェル(過酸化水素配合)
• ■ ナチュラルホワイトニングジェル(酸化チタン配合)
今回は、この2つのジェルの違いについてわかりやすくご紹介し、それぞれのメリット・デメリットや選び方についても解説していきます。
「歯を白くしたいけど、どっちを選べばいいかわからない」
「敏感な歯だけどホワイトニングはしてみたい」
そんな方はぜひ、この記事を参考にしてください!
■ 医療ジェルとは?【過酸化水素でしっかり白く】
まず、当店の医療ホワイトニングジェルについてご紹介します。
▼ 特徴と成分
医療ジェルには、過酸化水素という薬剤が配合されています。この成分は、歯科医院のホワイトニングにも使用されている漂白成分で、歯の内部の色素まで分解・漂白する力があります。
▼ 効果の強さ
過酸化水素は非常に効果が高く、1回の照射でも歯のトーンアップを実感できる方が多いのが魅力です。
セルフホワイトニングの中でも「よりしっかりと白くしたい」「短期間で結果を出したい」という方におすすめです。
▼ メリット
• 高いホワイトニング効果が期待できる
• 歯の内部の黄ばみや色素沈着にもアプローチ
• 結果が早く出やすい
▼ こんな方におすすめ
• 歯の黄ばみが気になる方
• 喫煙歴やコーヒーなどの着色習慣がある方
• とにかく早く白さを手に入れたい方
■ ナチュラルジェルとは?【酸化チタンで安心ケア】
次に、ナチュラルジェルについてご紹介します。
▼ 特徴と成分
ナチュラルジェルは、酸化チタンという成分が主に使用されています。この成分自体には漂白効果はありませんが、照射時に光触媒反応を起こし、汚れを浮かせて落とすという働きがあります。
このため、「歯を削らず・傷めずに、歯本来の色を取り戻す」というナチュラルなホワイトニングが可能です。
▼ 効果の違い
医療ジェルのように歯の内部の漂白はしませんが、表面のステイン除去や、透明感アップに非常に効果的です。回数を重ねることで、自然で明るい歯へと導きます。
▼ メリット
• 歯や歯茎に優しい
• 知覚過敏のリスクが少ない
• 繰り返し使えるためメンテナンスに最適
• 妊娠中や授乳中の方でも使用可能(※要相談)
▼ デメリット
• 効果が出るまでに時間がかかる
• 元の歯の色以上には白くできない
• 深い黄ばみには不向き
▼ こんな方におすすめ
• 歯の健康や安全性を重視したい方
• ホワイトニングが初めての方
• 敏感歯の方や妊娠中・授乳中の方
• 定期的なメンテナンスとして使いたい方
■ おすすめの選び方
お客様のライフスタイルやお悩みに合わせて、以下のような選び方をしてみてください。
◎ こんな方は「医療ジェル」がおすすめ!
• 特別なイベント(結婚式、撮影、就活)を控えている
• 歯の色を本格的に変えたい
• 過去にホワイトニング経験があり、刺激に耐性がある
◎ こんな方は「ナチュラルジェル」がおすすめ!
• 初めてのホワイトニングで不安
• 敏感歯で刺激に弱い
• メンテナンスを兼ねて定期的に通いたい
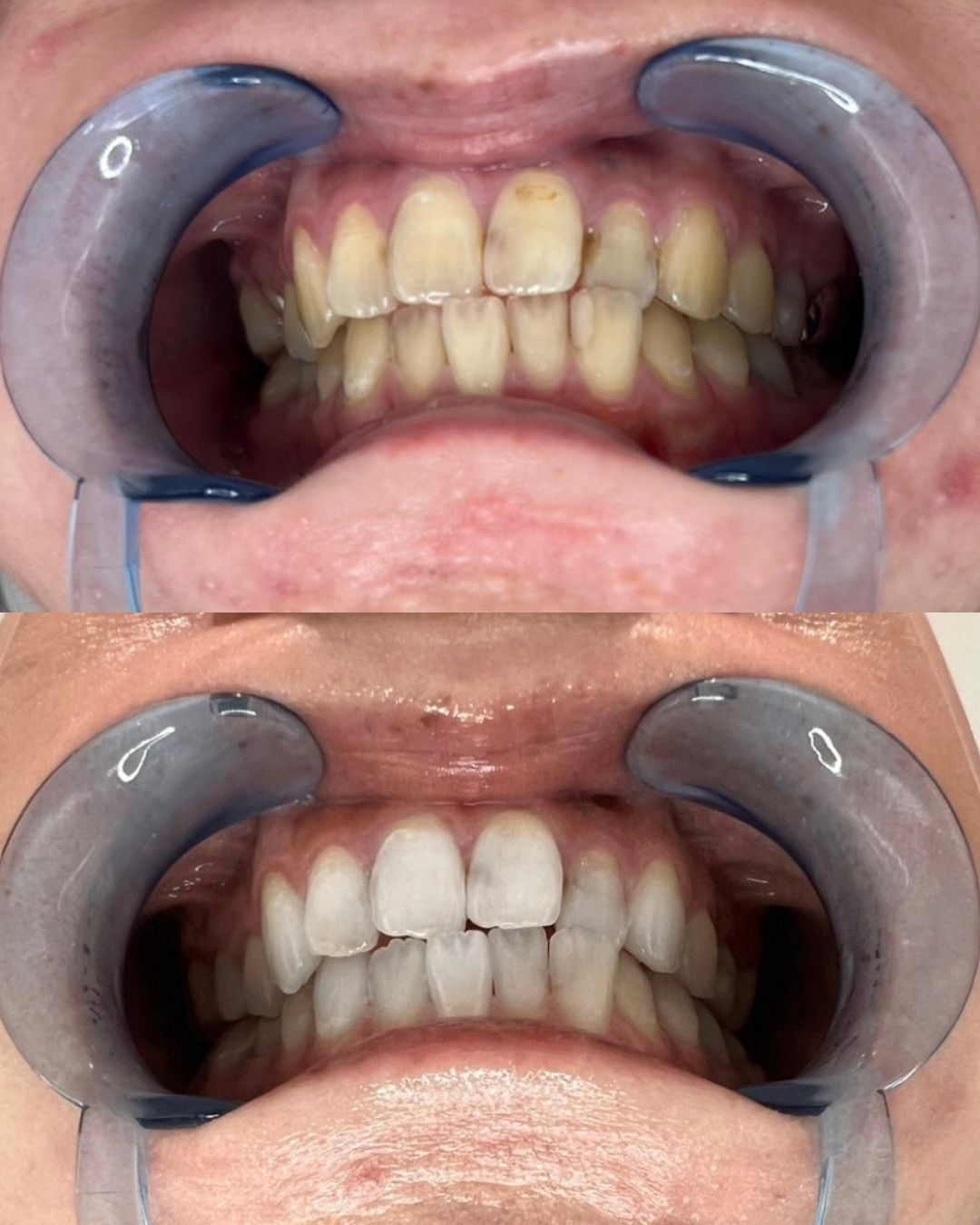
■ 白さにしっかりこだわりたいなら「医療ジェル」がおすすめ!
ナチュラルジェルにも魅力はたくさんありますが、
**「本気で歯を白くしたい」**とお考えの方には、やはり医療ジェルの使用をおすすめします。
過酸化水素が歯の内側までしっかり浸透し、長年の黄ばみや着色汚れにもアプローチできるのが医療ジェルの強みです。
「セルフホワイトニングは効果が弱い」と思っている方ほど、その変化に驚かれるケースも少なくありません。
たとえば、以下のような方には特にご好評いただいています:
• 📌 仕事柄、人前で話す機会が多い(営業職・接客業など)
• 📌 ブライダルや成人式、写真撮影など大事なイベントが控えている
• 📌 ホームホワイトニングや歯磨き粉だけでは効果を感じなかった
• 📌 歯科医院に通うのはハードルが高いけど、本格的なケアがした
■ どちらのジェルも照射方法はカンタン&安心
どちらのジェルを選んでも、照射方法はとても簡単で、スタッフが丁寧にご案内します。
•1.ワセリンを唇全体に塗る
•2.オープナーの着用
• 3.歯の表面を拭いてジェルを塗布
• 4.専用ライトで照射(15分×3回)
• 5.拭き取り・うがい
■ そもそも、どうして専用ライトを当てると歯が白くなるの?
セルフホワイトニングでは、専用のジェルを歯に塗り、LEDライトを照射することで歯を白くしていきます。
では一体、なぜライトを当てることで歯が白くなるのでしょうか?
その仕組みは、使うジェルの種類によって異なりますが、基本的には次のような原理です。
● 医療ジェル(過酸化水素)の場合
過酸化水素は、歯の内部(象牙質)まで入り込み、色素を化学的に分解(=漂白)する力があります。
この反応は「酸化反応」と呼ばれ、LEDライトの光を当てることで化学反応が加速し、短時間でより効果的に色素を除去できます。
歯そのものの色を根本から明るくできるため、歯科ホワイトニングと同じメカニズムといえます。
● ナチュラルジェル(酸化チタン)の場合
酸化チタンは、光を当てると活性酸素を発生させる性質があります。これを「光触媒反応」と呼びます。
この活性酸素が、歯の表面についたステイン(コーヒー・紅茶・タバコなどの着色汚れ)を分解・浮かせて落としやすくします。
あくまでも表面の汚れを除去するため、歯本来の白さを引き出すイメージです。歯への負担が少なく、安心して使えるのが魅力です。
このように、セルフホワイトニングはただ光を当てているだけではなく、「専用ジェル」と「光」の相乗効果によって歯が白くなる仕組みです。
だからこそ、ジェルの選び方がとても重要。効果や目的に応じて、ご自身に合ったものを選ぶことが白さへの近道です!
■ 最後に:どちらも「続けること」が白さのカギ!
医療ジェルもナチュラルジェルも、1回で完璧な白さになるわけではありません。
どちらも回数を重ねていくことで、少しずつ本来の明るさを引き出し、美しい白さを定着させていくケアです。
さらに、一度白くなった歯も、コーヒー・紅茶・ワイン・喫煙・加齢などの影響で、日々少しずつ着色していきます。
そのため、理想の白さをキープするには、定期的なメンテナンスがとても大切です。
当店では、歯の状態・生活習慣・ご予算などを踏まえたうえで、
お客様一人ひとりに合わせた照射回数や来店ペースをご提案し、無理なく続けられるプランを一緒に考えていきます。
「どのジェルがいいかわからない」「どのくらい通えばいいの?」といったご相談だけでも大歓迎です。
まずはお気軽に、無料カウンセリングへお越しください。
あなたにぴったりのホワイトニングケアを、私たちが全力でサポートいたします
■ 当店のホワイトニング照射料金プラン
お客様の目的やペースに合わせて選べる、お得なプランをご用意しております。
• 🔹【3回プラン】
16,000円(税込)
→ お試しや短期間の集中ケアにおすすめ!
• 🔹【5回プラン】
24,500円(税込)
→ 定期的に通いたい方に人気のバランスプラン!
• 🔹【10回プラン】
40,000円(税込)
→ 1回あたり4,000円!しっかり白くしたい方にお得◎
※医療ジェルは別途¥21,900(料金)が発生致します。
藤枝市藤枝5丁目10-8オリジナルハウスオフィスビル2F
05018081251
LINE ID 【@777pimkv】
平日 11:00~20:00
土日祝 10:00~19:00
営業時間外予約可(電話又はLINEからお問い合わせください)
