「歯を白くしたい」
そう思ったとき、まず多くの方が思い浮かべるのはホワイトニング用歯磨き粉ではないでしょうか?
ドラッグストアには「ステイン除去」「ホワイトニング」「歯を白くする」などと書かれた歯磨き粉がたくさん並んでいます。しかし、それらの多くに含まれているのが研磨剤です。
確かに研磨剤は、歯の表面に付着した着色汚れ(ステイン)を落とす効果があります。しかし同時に、歯の表面を傷つけてしまう可能性もあることをご存じでしょうか?
実は、歯の健康を守りながら白さを維持するためには、
研磨剤なしの歯磨き粉と歯に優しいホワイトニングを併用することが最も理想的なケア方法なのです。
今回は、なぜ研磨剤なしの歯磨き粉が良いのか、そしてホワイトニングと併用することでどのようなメリットがあるのかを詳しく解説していきます。
研磨剤入り歯磨き粉のメリットとデメリット
まずは、研磨剤入り歯磨き粉について理解しておきましょう。
研磨剤とは、歯の表面の汚れを削り落とすために配合されている成分のことです。歯の表面に付着したコーヒーや紅茶、ワイン、タバコのヤニなどのステインを物理的に落とす働きがあります。
そのため、使った直後は歯がツルツルになり、「白くなった」と感じやすいのが特徴です。
しかし、この研磨剤には注意点もあります。
研磨剤は汚れだけでなく、歯の表面のエナメル質も少しずつ削ってしまう可能性があります。エナメル質は一度削れてしまうと自然には再生しません。
エナメル質が削れることで起こるリスクは以下の通りです。
・歯の表面に細かい傷がつく
・着色汚れが付きやすくなる
・歯が黄ばんで見えるようになる
・知覚過敏の原因になる
・歯のツヤがなくなる
つまり、研磨剤入り歯磨き粉で一時的に汚れを落としても、長期的には逆に着色しやすい歯になってしまう可能性があるのです。
特にホワイトニングをしている方は要注意です。せっかく白くなった歯の表面を研磨剤で傷つけてしまうと、色戻りが早くなる原因にもなります。
研磨剤なし歯磨き粉のメリット
そこでおすすめなのが、研磨剤なしの歯磨き粉です。
研磨剤が入っていない歯磨き粉は、歯の表面を削ることなく優しく汚れを落とすことができます。毎日使い続けても歯へのダメージが少なく、長期的に歯の健康を維持しやすいのが特徴です。
研磨剤なし歯磨き粉のメリットは以下の通りです。
・歯の表面を傷つけない
・ホワイトニング後の歯にも使える
・色戻りしにくい
・知覚過敏になりにくい
・歯のツヤを維持できる
・毎食後の使用に向いている
歯を白くしたい方ほど、研磨剤なしの歯磨き粉を選ぶことが重要になります。
なぜなら、歯を白くすることと歯の健康を守ることはセットで考えるべきだからです。
歯磨きだけでは歯は本当の意味で白くならない
ここで重要なポイントがあります。
それは、歯磨き粉だけでは歯は本来の白さ以上にはならないということです。
歯磨き粉で落とせるのは、あくまでも表面の着色汚れだけです。歯そのものの色を白くすることはできません。
歯の色は、もともとの象牙質の色や生活習慣によって変わります。加齢によっても徐々に黄ばんでいきます。
つまり、歯磨きだけでは限界があるのです。
そこで必要になるのがホワイトニングです。
歯に優しいホワイトニングとの併用がベスト
歯の健康を守りながら白くしたい場合、最も理想的なのは
・日常ケアは研磨剤なし歯磨き粉
・歯の色はホワイトニングで白くする
この2つを組み合わせる方法です。
研磨剤なし歯磨き粉で歯を傷つけずに毎日ケアしながら、ホワイトニングで歯そのものを白くしていくことで、健康と白さの両方を維持することができます。
さらに、ホワイトニング後は着色しやすい状態になる場合もありますが、研磨剤なし歯磨き粉を使用することで歯への負担を減らしながら白さをキープできます。
この組み合わせが、最も理想的なホワイトニング習慣といえるでしょう。
定期的なホワイトニングが白さを維持するポイント
ホワイトニングは一度行えば永久に白さが続くわけではありません。
日常生活の中で、
・コーヒー
・紅茶
・緑茶
・ワイン
・カレー
・チョコレート
・タバコ
などによって少しずつ着色していきます。
そのため、白さを維持するには定期的なメンテナンスが重要になります。
定期的にホワイトニングを行うことで、着色が蓄積する前にリセットでき、常に明るい歯を維持することができます。
特に、歯に優しいホワイトニングであれば定期的に行っても歯への負担が少なく、長期的なケアとして最適です。
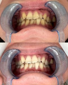
効果を実感できるホワイトニング店選びが重要
ホワイトニングをする際にもう一つ大切なのが、お店選びです。
ホワイトニングはどこでも同じではありません。
・使用するジェル
・照射機器
・施術方法
・回数
・通う頻度
によって結果は大きく変わります。
せっかく通うなら、しっかり効果を実感できるホワイトニング店を選ぶことが重要です。
効果を実感できるホワイトニングを定期的に行い、日常では研磨剤なし歯磨き粉でケアする。この習慣が、白さと健康を両立する最も理想的な方法です。
歯はまず健康であることが大切
歯は一生使い続ける大切なものです。
どれだけ白くても、歯が弱ってしまっては意味がありません。
・しみる歯
・削れている歯
・着色しやすい歯
・ツヤのない歯
こうなってしまう前に、正しいケアを始めることが大切です。
健康な歯を維持しながら白くすることこそが、本当のホワイトニングといえます。
白い歯は笑顔と印象を変える
歯が白くなると、見た目の印象は大きく変わります。
・清潔感がアップする
・若々しく見える
・笑顔に自信が持てる
・第一印象が良くなる
・写真写りが良くなる
このように、白い歯は見た目だけでなく気持ちにも大きな変化をもたらします。
さらに、歯を気にせず笑えるようになることで、コミュニケーションも自然と増え、毎日が明るくなります。
毎日のケアとホワイトニングの両立が理想
歯の白さを維持するためには、
毎日のケア
+
定期的なホワイトニング
この両方が必要です。
研磨剤なし歯磨き粉で歯を守りながら、ホワイトニングで白くする。この習慣を続けることで、無理なく理想の白さを維持できます。
歯の健康と白さを両立するためには、
・研磨剤なし歯磨き粉を使用する
・毎食後しっかり歯磨きする
・歯に優しいホワイトニングを行う
・定期的にメンテナンスする
この4つが重要です。
歯はまず健康であることが大切です。
そして健康な歯で美味しく食事を楽しみながら、白い歯を維持できれば理想的ですよね。
白い歯は笑顔を明るくし、気持ちも前向きにしてくれます。
ぜひ、研磨剤なし歯磨き粉とホワイトニングを組み合わせて、歯の健康と白さを両立させた理想のケアを始めてみてください。
当店ホワイトニング照射料金
当店では、気軽に通える都度払いと、お得に通える回数券をご用意しております。お客様の目標の白さや通い方に合わせてお選びいただけます。
都度払い
・初回お試し価格 4,700円
・通常料金 6,600円
まずはホワイトニングを体験してみたい方におすすめです。初回はお得な価格でご利用いただけます。
回数券
しっかり白くしたい方や、定期的にメンテナンスしたい方には回数券がおすすめです。
■3回券
16,000円(1回あたり5,333円)
■5回券
24,500円(1回あたり4,900円)
■10回券
40,000円(1回あたり4,000円)
回数が多いほど1回あたりの料金がお得になります。短期間で白くしたい方や、白さを維持したい方に人気のプランです。
まずは初回お試しからお気軽にご体験ください。
藤枝市藤枝5丁目10-8オリジナルハウスオフィスビル2F
05018081251
LINE ID 【@777pimkv】
平日 11:00~20:00
土日祝 10:00~19:00
営業時間外予約可(電話又はLINEからお問い合わせください)
